泉州南安霞美全护口腔门诊部详细介绍
1. 泉州南安霞美全护口腔门诊部怎么样
泉州南安霞美全护口腔门诊部是经南安市卫生健康局正式审批成立的正规牙科机构,成立于2023年4月4日,位于福建省泉州市南安市霞美镇。作为一家新兴的民营口腔医疗机构,全护口腔虽然成立时间不长,但凭借精良的设备、专精的医疗团队和优质的服务,已快速成为当地居民信赖的口腔健康守护者。
核心优势:
- 正规资质:执业许可证登记号226747350583519643,有效期至2026年7月12日
- 专精团队:由经验多的口腔医师组成,门诊主事黄小龙亲自坐诊
- 精良设备:配备CBCT、口扫仪、显微镜等现代化牙科设备
- 舒适环境:180平方米的诊疗空间,4个现代化牙椅,提供温馨舒适的就诊体验
- 亲民价格:定位中低收费,让优质口腔医疗服务更加普惠

2. 泉州南安霞美全护口腔门诊部收费价格表2025
以下是2025年泉州南安霞美全护口腔门诊部主要项目的参考价格表(具体价格以实际就诊为准):
| 项目类别 | 具体项目 | 价格范围(元) | 备注 |
|---|---|---|---|
| 基础治疗 | 普通洗牙 | 120-200 | 含抛光 |
| 补牙(普通树脂) | 150-300/颗 | 根据龋坏程度 | |
| 橡皮障补牙 | 300-500/颗 | 特色项目 | |
| 根管治疗 | 前牙根管治疗 | 800-1200 | 不含冠修复 |
| 后牙根管治疗 | 1200-1800 | 不含冠修复 | |
| 显微根管治疗 | 1800-2500 | 特色项目 | |
| 牙齿修复 | 全瓷冠 | 1500-3000/颗 | 不同品牌 |
| 烤瓷冠 | 800-1500/颗 | 不同金属 | |
| 活动义齿 | 800-3000 | 根据材料 | |
| 全口义齿 | 5000-12000 | 根据材料 | |
| 种植牙 | 国产种植体 | 4000-6000/颗 | 含种植体+基台+冠 |
| 韩国种植体 | 6000-9000/颗 | 含种植体+基台+冠 | |
| 欧美种植体 | 9000-15000/颗 | 含种植体+基台+冠 | |
| 牙齿矫正 | 金属托槽矫正 | 8000-15000 | 全口 |
| 陶瓷托槽矫正 | 12000-20000 | 全口 | |
| 隐形矫正 | 15000-35000 | 根据品牌 | |
| 儿童牙科 | 窝沟封闭 | 80-150/颗 | 预防龋齿 |
注:以上价格仅供参考,实际收费可能因个人口腔情况、治疗方案选择等因素有所调整。门诊定期推出优惠活动,详情可电话询问。
3. 泉州南安霞美全护口腔门诊部怎么样预约挂号
泉州南安霞美全护口腔门诊部提供多种便捷的预约方式,方便患者合理安排就诊时间:

预约方式:
- 电话预约:拨打门诊预约热线 15860485020,工作人员将为您安排合适的就诊时间
- 现场预约:直接前往门诊部前台预约(地址:福建省泉州市南安市霞美镇霞美村汽贸南路3-5号、3-6号)
- 微信预约:添加门诊法定微信进行预约(可电话询问获取微信号)

预约须知:
- 建议提前1-3天预约,确保能安排到理想的时间段
- 首次就诊患者可享受免费口腔检查
- 如需取消或改约,请至少提前2小时通知
- 预约时段:上午8:00-12:00,下午14:00-19:00

预约补贴:
- 预约患者可享受优先就诊权
- 首次预约可获免费口腔检查
- 预约患者可享受部分项目优惠价格
- 提供免费停车服务
4. 泉州南安霞美全护口腔门诊部技术优势、环境和服务特色

技术优势
数字化种植技术
:采用CBCT精细扫描,3D打印导板,提高种植精细度
- 显微根管治疗:在高倍显微镜下操作,提高治疗成功几率
橡皮障隔离技术
:确保补牙过程无菌、干燥,提高补牙质量
- 微痛治疗技术:采用精良麻醉方式,减轻治疗不适感
儿童早期干预矫正
:针对儿童牙齿发育问题早期干预

环境特色
- 180平方米现代化诊疗空间
- 4个独立诊疗单元,保护患者隐私
- 严格的消毒灭菌流程,确保医疗安心
- 温馨舒适的就诊环境,缓解患者紧张情绪
- 配备儿童游乐区,方便带孩子的家长就诊

服务特色
- 一对一专属服务,全程专人跟进
- 首诊免费检查,建立完整口腔档案
- 提供多次付款服务,减轻经济压力
- 定期回访,关注患者术后修复情况
- 免费提供茶水、WIFI等贴心服务

营业时间
- 上午:8:00-12:00
- 下午:14:00-19:00
- 全年无休(春节等法定节假日另行通知)
- 急诊患者可拨打24小时询问电话
5. 泉州南安霞美全护口腔门诊部所开展的项目
基础牙科
- 口腔检查与诊断
- 超声波洁牙、喷砂洁牙
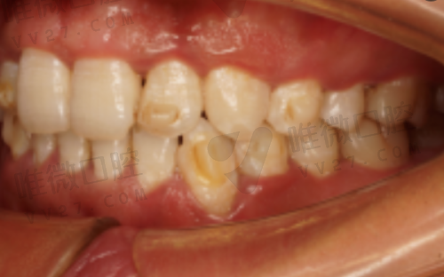
- 龋齿充填(补牙)
- 橡皮障隔离补牙(特色)
- 牙周基础治疗
- 牙齿美白

牙体牙髓
- 根管治疗
- 显微根管治疗(特色)
- 根尖手术
- 牙体缺损修复

牙齿修复
- 全瓷冠修复
- 烤瓷冠修复
- 嵌体修复
- 活动义齿修复
- 全口义齿修复

种植牙
- 单颗牙种植
- 多颗牙种植
- 全口种植
- 即刻种植
- 数字化导板种植(特色)

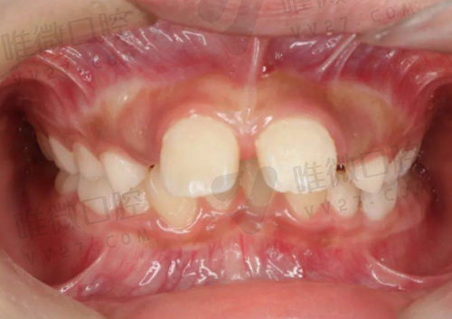
牙齿矫正
- 金属托槽矫正
- 陶瓷托槽矫正
- 隐形矫正
- 儿童早期干预矫正
- 成人正畸

儿童牙科
- 儿童口腔检查
- 窝沟封闭
- 儿童龋齿治疗
- 乳牙拔除
- 儿童牙齿矫正询问
6. 泉州南安霞美全护口腔门诊部地址在哪里?交通路线分享
详细地址:
福建省泉州市南安市霞美镇霞美村汽贸南路3-5号、3-6号(也可搜索"福建泉州南安市霞美镇幸福鲤全护口腔")

交通指南:
- 自驾车:导航搜索"泉州南安霞美全护口腔门诊部",门诊提供免费停车位
- 公交车:可乘坐南安市区至霞美镇的公交线路,在"霞美村"站下车步行约300米
- 出租车/网约车:直接告知司机前往"霞美镇汽贸南路全护口腔"

周边地标:
- 距离霞美镇政府约800米
- 距离南安市人民医院霞美分院约1公里
- 周边有多个住宅小区和商业设施

联系电话:
158****0(预约/询问)
7. 为什么要选择泉州南安霞美全护口腔门诊部
新而不弱
2023年新开的口腔门诊,但设备全新(配备CBCT、口扫仪、显微镜等精良设备),诊疗理念精良,环境舒适整洁,为患者提供现代化诊疗体验。

正规放心
经南安市卫生健康局正式审批成立,执业许可证齐全(登记号226747350583519643),所有医护人员持证上岗,医疗流程规范,让患者就诊无忧。

医生靠谱
由门诊主事黄小龙领衔的专精团队,重点打造种植和矫正专科,医师经验多,技术有保护,为患者提供精细、安心的诊疗服务。

价格亲民
定位中低收费,种植牙、矫正等核心项目价格竞争力强,让普通老百姓也能享受到优质的口腔医疗服务,真正实现"好牙不贵"。




