一、厦门湖里艾美口腔门诊部怎么样
厦门湖里艾美口腔门诊部是一家成立于2024年的现代化专精口腔医疗机构,位于厦门市湖里区金山街道高林西里1-1号301室之二。门诊部经厦门市湖里区卫生健康局严格审批(登记号:PDY00835-335020617D1522),具备正规医疗资质,为患者提供安心、专精的口腔诊疗服务。
核心优势:
- 数字化诊疗:配备CBCT、口扫仪、显微镜等精良设备
- 专精团队:由经验多的口腔骨干医生领衔
- 舒适环境:温馨的就诊环境,缓解看牙紧张情绪
- 透明收费:价格公开透明,无隐形消费
二、厦门湖里艾美口腔门诊部收费价格表2025
| 项目 | 价格区间 | 说明 |
|---|---|---|
| 普通洗牙 | 120-200元 | 包含超声波洁牙+抛光 |
| 儿童涂氟 | 80-150元 | 预防龋齿,保护乳牙 |
| 树脂补牙 | 200-500元 | 根据龋坏程度定价 |
| 橡皮障补牙 | 400-800元 | 隔离唾液,提高补牙质量 |
| 显微根管治疗 | 1500-3000元 | 前牙/后牙不同 |
| 国产种植牙 | 4800-6800元 | 含种植体+基台+牙冠 |
| 进口种植牙 | 6800-12800元 | 韩国/瑞士/瑞典不同品牌 |
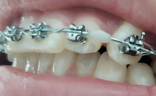
| 金属托槽矫正 | 12000-18000元 | 传统矫正方式 |
| 隐形矫正 | 20000-40000元 | 隐适美/时代天使等品牌 |
注:以上价格仅供参考,具体以实际检查后医生报价为准。节假日期间可能有优惠活动。
三、厦门湖里艾美口腔门诊部怎么样预约挂号
艾美口腔提供多种便捷的预约方式:
- 电话预约:拨打门诊电话(需查询官网或地图应用获取),客服人员会为您安排合适的时间
- 线上预约:通过法定微信公众号或小程序进行预约
- 现场预约:直接到门诊前台登记预约

预约注意事项:
- 首次就诊建议提前1-2天预约
- 复诊患者可与医生直接预约下次就诊时间
- 如需取消预约,请至少提前2小时通知
- 预约后会有短信或电话提醒
四、厦门湖里艾美口腔门诊部技术优势与环境服务

1. 技术优势
数字化种植技术
:通过CBCT精细测量骨量,3D打印种植导板
- 显微根管治疗:提高复杂根管治疗的成功几率
- 微痛治疗技术:采用进口麻醉设备,减轻治疗不适感
儿童早期干预矫正
:针对3-12岁儿童的口腔发育问题

2. 环境与服务特色
- 营业时间:周一至周日08:30-18:00(节假日可能有调整)
- 独立诊室设计,保护患者隐私
- 严格的消毒灭菌流程,杜绝交叉感染
- 提供免费茶水、WiFi、充电等贴心服务
- 支持多次付款,减轻经济压力

3. 医生团队
王金华 种植骨干医生
10余年种植经验,完成种植手术2000+例,擅长即刻种植、All-on-4等复杂种植技术。
张敏 正畸骨干医生
隐适美认证医师,擅长儿童早期干预矫正和成人隐形矫正,实例丰富。
五、厦门湖里艾美口腔门诊部所开展的项目

1. 基础治疗
- 洗牙、抛光、喷砂
- 龋齿充填(含橡皮障技术)
- 牙周治疗(龈下刮治、根面平整)
- 牙齿美白(冷光美白、瓷贴面)

2. 儿童牙科
- 乳牙涂氟、窝沟封闭
- 乳牙早期矫正(MRC矫治器)
- 儿童行为管理(缓解看牙恐惧)

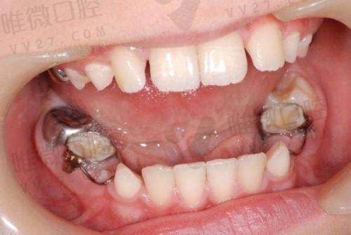
3. 修复治疗
- 全瓷冠、烤瓷冠修复
- 活动义齿(隐形义齿、支架义齿)
- 种植修复(单颗、多颗、全口种植)

4. 正畸治疗
- 传统金属托槽矫正
- 陶瓷托槽矫正
- 隐形矫正(隐适美、时代天使)
- 舌侧矫正

5. 特色项目
- 数字化种植:精细、微创、修复快
- 显微根管:保留更多健康牙体组织
- 橡皮障补牙:提高补牙质量和持久性
- 舒适拔牙微创拔除智齿、埋伏牙
六、厦门湖里艾美口腔门诊部地址与交通路线
详细地址:厦门市湖里区金山街道高林西里1-1号301室之二
交通方式:
- 公交:18路、31路、73路等至"厦心医院"站下车,步行约200米
- 地铁:2号线至"湖里公园站"下车,步行约10分钟
- 自驾:门诊周边有停车场,就诊可享免费停车

周边地标:
- 距离厦门大学附属心血管病医院约500米
- 距离湖里万达广场约1.5公里
- 距离五缘湾湿地公园约2公里
七、为什么要选择厦门湖里艾美口腔门诊部
✓
新而不弱
2024年新开,但设备新(CBCT、口扫、显微镜等)、理念新、环境好。
✓
正规放心
备案,资质齐全,厦门市湖里区卫生健康局审批,靠谱。
✓

医生靠谱
有重点打造的种植和矫正团队(王金华、张敏等),技术有确保。
✓

价格亲民
中低收费定位,种植牙、矫正等核心项目价格竞争力强,老百姓看得起。
✓

项目丰富
从基础护理到复杂修复、从成人到儿童,需求基本全覆盖。
✓

特色鲜明
数字化种植、橡皮章补牙、显微根管、儿牙早期干预是亮点。
✓

服务贴心
预约有免费检查,免费停车、免费茶水,还能多次付款,减轻压力。
厦门湖里艾美口腔门诊部致力于为每位患者提供专精、舒适、个性化的口腔医疗服务,
让看牙成为一种轻松愉快的体验。欢迎前来询问就诊!
```



