大家在网上搜索成都新桥口腔医院的时候,经常会看到“新桥口腔种植牙怎么样”“收费贵不贵”“有没有人看过”等关键词。如果你也正好在考虑做种植牙,那这篇文章一定要看完!今天我们就来细聊一下成都新桥口腔医院的真实情况,从种植牙技术、收费明细到患者反馈,全方面告诉你值不值得去。

成都新桥口腔医院种植牙技术怎么样?医生实力硬不硬?
成都新桥口腔医院作为一家经营二十多年的老资历口腔品牌,在成都本地早就积攒了不少人气。尤其是在种植牙领域,他们引入了多种前列技术,例如即刻种植、微创种牙、数字化导航种植等,这类技术不仅缩短了手术时间,修复也比较快,痛感少,适合大多数人群。
医院还专门成立了种植专科团队,像苏浩宇、刘今朝这类常年耕耘在数字化种植技术一线的医生,拥有丰富的临床实例,特别擅长复杂、高难度的种植操作,比如全口种植、前牙美学种植等,这是普通牙科诊所难以匹敌的层次。
而且,新桥口腔还是瑞士士卓曼“数字化种植中 心”的合作单位——说白了就是用比GPS还精细的三维定位做手术,不是“凭经验”随便装一颗种植体。现在都在讲求精细化操作,他们早就走在前面了。

成都新桥口腔医院种植牙收费贵不贵?有隐形消费吗?
特别多人还是特别在意种植牙的价格,这完全可以理解。根据实际情况来看,新桥口腔的种植牙不像一些高端私立牙科那样动辄上两三万一颗,他们的价格整体是比较亲民的,属于中等偏下水平,而且收费透明,没有“看着便宜进门、做完牙吓一跳”的情况出现。
具体来说,不同品牌的种植体价位如下:
韩系登腾种植体起步价大约是4980元/颗,性价比特别高,特别适合预算有限的用户。
德国ICX种植系统大概在7980元左右,稳定性和适用性较强,适合中年人使用。
瑞士ITI这样的高端植体价格则在一万元以上,偏向于追求使用年限久、兼顾美观的人群。
另外还有牙冠费用,全瓷冠在6000-10000元不等,金属烤瓷冠要便宜一些,也就两三千元出头。
其他项目还包括:
术前拍片检查:200-800元不等
若需植骨或调理牙周:可能增加5000元以上
总体估算下来,一颗常规种植牙含牙冠的价格大概在1.2万—2.5万元左右,可根据自身需求选择高性价比或高适配性的方案。
而且新桥口腔不定时出一些优惠,比如节假日促销、种一送一、满减优惠等活动,有想去种牙的朋友可以提前在线询问看看有没有活动。

成都新桥口腔医院种植牙有哪些技术亮点?为什么评价这么高?
我们在做种植牙决策时,除了要考虑医院规模和医生资质,对实际操作采用的技术也要有了解。新桥口腔的几个技术关键词你一定要记住:
1. 数字化精细种植技术:通过3D口腔扫描+导航技术精细植入种植体,误差极小,术后咬合更稳定。
2. 微创微痛技术:切口更小,修复时间短,尤其适合老年人或者怕痛的人群。
3. 即刻种植方案:当天拔牙当天种牙,部分特殊方案还能当天临时戴牙冠,避免“缺牙难看”尴尬期。
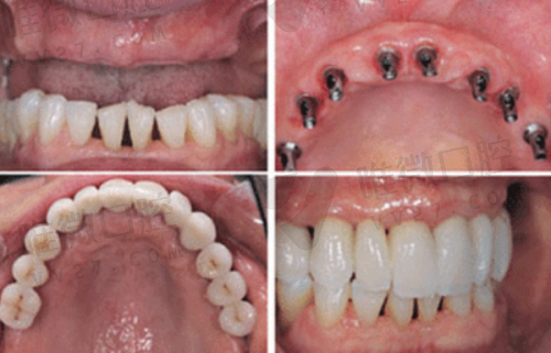
4. All-on-4/All-on-6全口种植技术:适合牙齿大量缺失的患者,用少量植体修复整个口腔咀嚼能力,安心又节约。
特别多患者反馈,来新桥种牙较大的感受就是手术快速精细,修复体验也特别友好,没有想象中的“恐怖”。术后吃东西基本没影响,有的第二天就能啃馒头了。

患者对成都新桥口腔医院的真实口碑怎么样?值得信赖吗?
不少看过牙的朋友表示,来新桥主要是因为朋友推荐或者在网上看了对医生的好评,其次是价格合理、不忽悠,去了以后环境特别宽敞,流程也不繁琐。
一位做了半口种植的阿姨说:“以前戴活动假牙总是掉,后来来新桥做了种植牙,咬苹果没问题,而且只花了不到6万块,医生手非常稳,做完当晚都没大出血。”
还有一位年轻患者分享:“我去做的是前牙种植,主要想好看,医生帮我做了数字化模拟和美学修复,末尾种出来比原来牙还漂亮,站在正前方都看不出来有哪颗是假的。”
综合评价来看,新桥口腔医院的服务水平、医生技术、设备配置、价格透明度都得到了普遍好评,尤其是在种植牙这个项目上,已经形成了较明显的优势壁垒。

成都新桥口腔医院有哪些分院?交通方便吗?
有时候我们看医院还得考虑到是否便于到达。新桥口腔在成都有多个分院,遍布衣冠庙、高新、玉双、武侯和邛崃等区域,一般都有地铁直达,像衣冠庙店就在3号线D出口附近,高新店靠近5号线锦城湖站C出口,就诊还是相当方便的。
哪怕你住在周边地区,比如德阳、自贡,甚至眉山,也可以找他们当地的分院,分院的诊疗设备和服务标准都是统一的,不存在“总部特别专精,分店是代加工厂”的问题。
如果准备做种植牙,而且对时间安排比较紧张的话,建议提前线上预约,这样可以缩短等候时间,并了解是否有正在进行的优惠活动。

成都新桥口腔医院适合哪类人群种植牙?老年人也能种吗?
特别多中老年人会担心自己年纪大了、牙槽骨条件差,是不是不能种牙。其实不必太担心!只要身体状况允许,比如血压、血糖控制良好,又没有口腔癌变、重度骨质疏松等问题,一般都可以放心种牙。
如果骨量不足,医院还能提供植骨、骨增量技术,解决“土壤”不够的情况。
对年轻人来说,比如车祸、运动导致牙齿受损的情况,也完全可以通过数字化即刻种植修复外观和功能。
所以无论你是40+还是60+,也不论是单颗缺牙还是多牙缺失,都可以先来面诊看看。医生会根据你的口腔情况出具专精化的种植方案。

成都新桥口腔医院做种植牙后的售后服务怎么样?
特别多朋友往往只关注了手术费用和医生经验,忽略了一个更重要的问题——那就是术后是否有人管。毕竟种植牙不是一次性的消费,它关系到后面的使用年限和舒适性。
在这方面,新桥口腔的售后做得相当到位。种植完后会安排定期复查、咬合调试、牙周清洁等服务,医生还会提醒你如何日常保养,比如避免咬硬物、定期洗牙、不吸烟等。
有问题也可以线上询问小助手,有的分院甚至可以远程拍照让医师评估,非常贴心。
这种术前术后都有人负责的模式,是一个成熟医疗机构才有的服务体系。










