2025年,关注口腔健康的朋友们有福了!龙港牙贝恩口腔刚刚公布了全新版价格表,不论你是想种颗牙修复咀嚼,还是打算趁今年做一次牙齿矫正变身“笑容担当”,在这里都能找到详细又够良心的报价。为了让大家更快了解龙港牙贝恩口腔的项目细节,我们今天就用一种接地气的方式,把这份“明码标价”的费用整理出来,牙友们直接对号入座,种牙、整牙一步到位!

龙港牙贝恩口腔医院种植牙价格表曝光:3680元起,品牌任选
作为龙港本地颇有口碑的专精齿科机构,牙贝恩可不是只靠“便宜”吸引人,服务质量和技术实力一样实力强。尤其是在种植牙方面,从国产到进口,从单颗到半口、全口套餐,价格公开透明,不怕比!
国产种植体:3680元起/颗
热销款如创英、百康特品牌,含种植体+基台+国产全瓷冠,适合预算紧张但是又想长期使用的朋友,质保基本都在5年左右,种一颗牙能吃个十年不是问题。
韩国登腾种植牙:6800元 - 8800元/颗
这款属于中高端路线,搭配韩国进口全瓷冠,更适合希望即种即用、缩短修复期的上班族。微创技术和数字导板组合,正确率和舒适度都高不少。
瑞士ITI种植牙:12800元 - 16800元/颗
骨量不足?怕失败?那就看看国内外大牌瑞士ITI种植系统。适合上年纪或者骨条件复杂的患者,种一颗省心十年。搭配国外全瓷冠,外观上也更自然仿真。
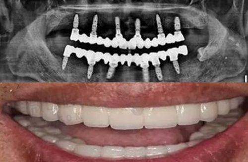
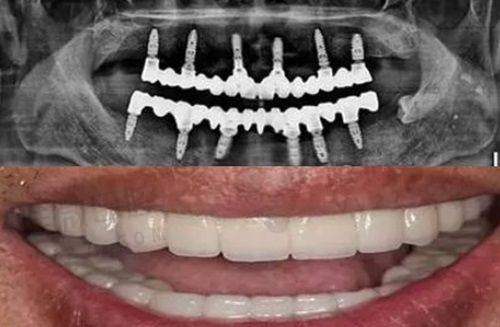
半口种植套餐:39800元起,全口种植:68000元起
包含4~6颗种植体+12~14颗牙冠+导板设计,需要全口修复的长辈强烈推荐,不用戴磨人假牙,术后当天就能进食,一次搞定无法咀嚼的老烦恼。
附加项目收费公开:
骨增量费用在3000~8000元之间,数字导板设计费用为1200元,临时牙冠可选树脂款,每颗600元。
特别补贴: 龙港牙贝恩口腔对种植牙患者,提供术后终身复诊服务,每年免费拍片+洁牙一次,确认种植体状态,堪称贴心到家!

龙港牙贝恩口腔医院正畸价格公布:金属托槽6999元,隐适美一次搞定
想矫正牙齿的朋友们注意了,龙港牙贝恩的新一轮正畸价格也已亮相,主打多种选择、分阶段付款、不隐藏消费。儿童、青少年、成人矫正全覆盖,而且价格和服务都特别“到位”。
金属托槽矫正:6999元起
价格虽然亲民,但技术上标准不打折,特别适合学生群体或预算有限的朋友。硬件设备配备全套正畸仪器,在医生专精指导下完成整个过程,有效改善咬合关系和牙列排列,提升容貌不在话下!
陶瓷半隐形托槽矫正:15800元起
相比金属更美观,上镜不突兀,适合需要在社交场合活跃的人士,结实耐用又不会太明显,是特别多白领朋友的优选。
时代天使隐形矫正:21800-28000元
想隐形矫正又不想掏高价?时代天使是国产隐形界的实力派,佩戴舒适,全程无需钢丝,也符合现在“悦己”的健康趋势,逐渐成为年轻人口腔爆款项目。
隐适美隐形矫正:45000元起
想追求极致体验,可以心动隐适美:美国进口技术定制透明牙套,几乎肉眼难察觉,配备AI智能流程预测,适用于轻到中度错颌畸形,做完几乎没有副作用还原笑容弧度。
儿童早矫ETA系统矫正:15000元起
孩子出现反颌?地包天?早点处理少走弯路。ETA属于生长引导型矫治系统,能在换牙阶段对咬合发育进行“调方向”,避免长大后拔牙整牙。

龙港牙贝恩口腔医院基础项目价格:洁牙58元、补牙150,价格真亲民
除了种牙和整牙,龙港牙贝恩还有一系列基础诊疗项目,清洁、美白、补牙、拔牙统统安排,明码标价,不打“折”的技术保护。
超声波洁牙:58元起
平时烟渍、茶垢、牙结石堵住牙缝,通过超声波洁牙轻松搞定,平常养护不能少,每半年洗一次,牙齿更健康,口气更清新。
3M树脂补牙:150元~300元不等
针对龋齿、裂痕、牙体磨损等常见问题,医生会根据牙齿形态和颜色选择材料填充造型,收费根据材料级别和操作部位浮动,整体价格良心。
根管治疗:前牙350元起,磨牙550元起
蛀牙深入伤到神经?别怕,根管治疗来救急。清除坏组织后保住原牙,修复咀嚼力,成本比直接拔牙后再装牙实惠得多。
拔牙项目:智齿300元起,简单拔牙100元起
智齿长歪了总是痛?拔掉才是省心之选,龙港牙贝恩用微创拔牙术,术后基本不肿,配合消炎护理,修复快。

龙港牙贝恩口腔医院地址、医生团队优势一览
牙贝恩口腔龙港门诊部位于龙港市世纪大道188号财富广场2楼,距离市政府仅几十米,地铁公交齐聚,交通便利。营业每天早8点至晚8点,无论是工作日还是周末,都能轻松安排时间过来面诊。
医生介绍: 牙贝恩口腔的主治医生丁齐祥,是龙港口腔界的大牛之一,拥有15年临床经验,专注种植牙与复杂口腔修复,上千例病例无差评。所领衔的种植团队以“稳、准、美”著称,尤其在微创即种技术方面享受业内良好口碑,他常年受邀国内多家学术机构授课。
医院内部配备德国CBCT扫描、三维口扫、数控种植导板设备,从检查到手术实现数字化对接,安心效率高。

龙港牙贝恩口腔医院预约挂号方式公布
看牙不用早起排队,牙贝恩提供三种便捷预约方式:
电话预约:拨打法定客服热线(号码做脱敏处理)即可提前挂号并预约医生
现场挂号:每日早晨8:00开诊,额满为止,建议提早到场
微信预约:关注“龙港牙贝恩口腔”法定公众号,可在线选择医生+时间段,确定后无需排队直接候诊
无论你是追求高端种植的成熟患者,还是想通过矫正来实现逆龄微笑改造的年轻人,或只是希望找家诊疗靠谱、价格透明的牙科机构,龙港牙贝恩口腔都是你的心仪选择。