最近在阳泉朋友圈疯传的"看牙贵"话题,让不少市民对着镜子发愁——难道想种颗牙真要掏空钱包?今天小编就带您探秘阳泉市第一人民医院口腔科价目表,这家三等甲医院藏着让人惊喜的性价比!从5500元的国产种植体到15800元的瑞典诺贝尔,价格跨度覆盖各消费层次;更关键的是,这里还藏着36年经验的外科骨干医生。想知道国有医院如何做到"技术不输私立,价格更接地气"?跟着我们的深度解析,解锁看牙省钱新姿势!

阳泉市口腔医院价目表

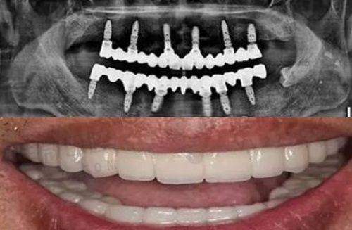
一、种植牙:进口品牌竟有"学生价"?
在阳泉市第一人民医院,种植牙价格体系就像"汽车品牌展厅":国产种植牙5500元起相当于经济型轿车,韩国登腾6000元起是性价比之王,而瑞士ITI12800元起则属于牙科界的"奔驰"。特别要划重点的是,同款瑞典诺贝尔种植体,这里15800元的价格比周边私立机构普遍低2000-3000元。科室采用的"种植体品牌分级报价"策略,让患者既能享受进口品质,又不必为品牌溢价买单。

二、矫正收费暗藏玄机:钢牙套也有高定版
正畸价格表堪称"牙齿变形记"的价目指南:9800元起的金属托槽是经典款,陶瓷半隐形15800元属于轻奢系列,而隐适美35800元则是隐形矫正里的爱马仕。有趣的是,他们的AO自锁托槽12800元采用了航天级金属材质,矫正效率比普通钢牙套提升30%,堪称"钢牙界的超跑"。

三、牙冠选择指南:烤瓷牙里的"成分党"
当你在纠结烤瓷牙材质时,不妨参考这份"成分说明书":钛合金880元/颗属于基础款,钴铬合金950-1180元是升级版,而德国威兰德全瓷牙3280元则是无金属过敏的"纯净党"优选。特别值得一提的是,他们的美国LAVA全瓷牙3800元采用CAD/CAM三维雕刻技术,精度达到头发丝的1/5。

四、隐藏补贴:三等甲医院的"便民套餐"
除了常规项目,这里还有些鲜为人知的超值服务:260元超声波洗牙包含牙龈SPA护理,800元根管治疗使用德国显微设备,而400元智齿拔除居然配备心电监护仪。更让人意外的是,所有种植手术都由36年经验的靳一恒主事亲自制定方案,这种"骨干医生级服务+亲民价格"的组合,在业内实属罕见。

五、价格背后的技术底气
为什么三等甲医院能控制成本?答案藏在他们的"硬核配置"里:①拥有阳泉少有的口腔CBCT三维影像系统,避免误诊产生的额外费用;②采用微创拔牙技术,减少术后用药开支;③自主研发的种植导板使手术时间缩短40%。正如患者李先生的反馈:"在这里种牙像参加标准化考试,每个步骤都有精细参数,反而比小诊所更省心省钱。"
看完这份深度解析,您是否对阳泉市第一人民医院口腔科价目表有了新认识?下次再听到"看牙贵"的抱怨时,不妨把这篇文章转给需要的朋友——毕竟健康的牙齿,本就该人人可及!










