口腔健康越来越被现代人重视,不少朋友在选择牙科诊所时,既追求专精靠谱,也希望服务舒心、环境宜人。在广西百色市右江区,有一家备受关注的口腔门诊——唯美口腔。最近,这家门店的地址终于“官宣”了,而且是双地址运营模式,不仅方便了广大市民合理安排看诊地点,也为右江区的医疗资源再添一笔优质力量。

百色唯美口腔医院:坐落广安公园,门口就是绿意生活
百色唯美口腔医院的首个门店地址位于广西百色市右江区平安路广安公园里一期B20、B21号商铺。这地段位置相当“巴适”,靠近百色市区核心地带,交通便利,周边生活设施齐全。不管是本地居民还是附近上班族,来这家门诊都特别方便,开车、步行、骑车都非常合适。
门诊整体装修风格也特别符合现代都市人的口味——色彩明快,整体氛围轻松,让人进门就仿佛从“白大褂的严肃感”中换了个频道。候诊区空间宽敞,环境安静,你可以在等候区域喝一杯温水、听首轻音乐,心情也能不知不觉舒缓下来。
特别值得一提的是,唯美口腔把每一个空间都利用得恰到好处,诊疗室是“一对一私密诊疗”方式,不仅确保了就医私密性,也有效避免了交叉感染等问题,这是特别多传统诊所难以做到的细节环节。

百色唯美口腔医院医生团队:专注精进,追求诊疗品质
一家口腔医院,关键不仅是环境好,医生团队更是核心。唯美口腔的医生团队以“先做人后行医”和“精益求精”的行医理念为根本,医生们专精素养高,技术实力强,带来了多年的临床经验和细致、富有耐心的诊疗态度。
他们不仅擅长常见的补牙、拔牙、洁牙、牙周治疗等基础项目,还涵盖了种植牙、美学修复、牙齿矫正、牙齿美白等多元化项目,真正做到了“从儿童到老人,一站式全家口腔健康守护”。
除此以外,医生在与顾客沟通方面做得也非常出色,不用担心“听不懂医术术语”,他们会耐心解释方案、跟进课程进展,令每一位顾客都能明明白白看牙。

百色唯美口腔第二地址:稳步扩展,满足更多市民需求
随着人们对口腔医疗品质要求的不断提升,百色唯美口腔也在不断壮大。除了广安公园的一期门店,目前又新增了第二处地址,同样位于右江区内,具体地点在市民熟悉的生活圈范围内(详细地址可到院询问)。这种双地址模式不仅扩大了服务面,也大大缩短了就诊等待时间。
双门店的运营进一步显示出唯美口腔在服务理念和资源调配上的专精性,不再局限于小诊所式的“一个门、一把椅”的简单布局,而是以更大范围覆盖更广的顾客群。
新门店的环境延续了唯美一贯的北欧风轻装设计,同时结合了更多智能化元素——从线上预约、扫码问诊,到院后自动取号、诊疗文档同步更新,在流程效率和服务体验上都做了全新升级。

百色唯美口腔医院价格体系:公开透明,不玩套路
特别多人对牙科望而却步的主要原因之一,就是“怕被宰”!但在百色唯美口腔,这点大家可以放心。他们家的价格体系是公开透明的,每一个项目都有价格公示,做检查前都会提前清晰沟通,让你在价格和项目上做到心里有底。
无论是基础洗牙项目还是价格稍高的种植、瓷贴面等高端齿科服务,前期都有专精顾问解答,每一次治疗都按照国内规范流程,拒绝“隐形消费”这一老套路。
另外,他们还经常节假日推出一些专享的口腔体检套餐、亲子洗牙优惠、美白季返现等贴心活动,为的就是让大家能在确保品质的基础上,减轻经济压力。

百色唯美口腔医院的特色服务:不仅仅是看牙那么简单
和传统诊所不同的是,百色唯美口腔不仅关注牙齿健康,更希望给患者带来一站式全方面服务体验。比如家长带孩子看牙,除了提供专属儿童区,还配备了儿童口腔医生,避免孩子对陌生环境的恐惧;对于牙齿矫正者,设有专精矫正顾问全程跟进;对高龄患者,也提供接待、搀扶等贴心辅助服务。
唯美口腔在术前术后管理方面也特别有“章法”,术前会根据顾客情况制定个性化治疗计划,术后会有专员跟进回访,确保修复顺利,真正做到了“诊疗不停步,关怀不止于口”。
同时,每一位来院的顾客都可以享受到无病毒环境下的安心服务,诊疗设备每日严格消毒,工作人员佩戴一次性口罩、手套、制服,每一位进门的顾客也会进行体温、健康码检查,确保防疫管理万无一失。

从牙齿美感到整体形象提升,百色唯美口腔定位高端但不高冷
顾名思义,“唯美”不仅是在口腔成效上讲究审美,更是在服务理念上追求“美的极致”。门诊团队把每一次治疗都看作是一次“形象重塑”工程,尤其对于牙齿矫正和美容修复服务,其设计理念更趋于美学和平衡感。
例如,陶瓷贴面不仅仅是补上缺牙那么简单,而是综合考虑脸型、唇型、肤色等多维度因素后量身定制,从而达到“自然中的精致”,这类服务深受学生党和职场白领欢迎。
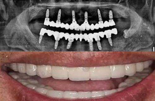
种植牙方面则采取国内外主流品牌材料,使用CBCT数字影像精细定位植体位置,全程操作由从业多年种植医生主导,多年来积累了良好的口碑。

百色唯美口腔医院联系方式&到院路线提示
对于想进一步了解诊疗项目、预约挂号或价格询问的市民,可以通过公众号、线上客服等方式获取相关信息,前台电话也提供来电询问通道(目前为防骚扰原因,仅提供尾号****)。此外,如果需要导航到院,可以搜索“百色唯美口腔”进入地图直达界面。
从百色城区出发,到达唯美口腔门诊更快只需十分钟车程,公交线路覆盖到门口站点,步行不到五分钟即可到达,极度便民。
未来唯美口腔还计划在右江区开设更多分点,为更多市民提供便捷、效率高、安心的口腔就诊环境。如果你也正在寻找一家放心的牙科门诊,不妨抽个时间来体验一下百色唯美口腔的用心与专精。










