
嘿,各位成都的朋友!牙齿问题是不是有时候让你头疼不已?特别是牙齿缺失,吃饭不香,说话漏风,容貌也受影响。别愁啦,今天就带大家来深入了解一下成都贝臣口腔医院的种植牙收费详情,给大家把性价比好好解析一番,让你心里有个底。

成都贝臣口腔医院简介
成都贝臣口腔医院在咱们成都可是小有名气。医院环境那叫一个舒适,一进去就感觉特别放松,没有那种传统医院的紧张感。医护人员的态度也非常好,特别亲切,就像家人一样。而且医院的设备都是比较精良的,能为咱们的牙齿治疗提供有力的保护。他们在种植牙方面有自己的一套,特别多患者在这里都重新找回了健康的牙齿。

种植牙基本知识科普
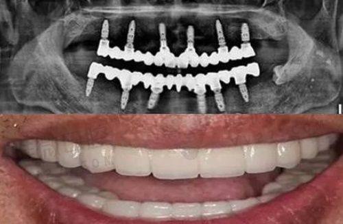
在了解价格之前,咱先说说啥是种植牙。简单来说,种植牙就像是给咱们的牙齿重新“种”上一个根。它可不是真的种上一颗牙,而是把人工牙根植入到牙槽骨里,等牙根和牙槽骨长在一起后,再安装牙冠。这样种出来的牙和咱们自己的真牙差不多,能正常吃饭、说话,外观上也看不出来区别。
种植牙有特别多优点。首先,它的稳定性好,不会像活动假牙那样动不动就晃来晃去。其次,它的咀嚼功能强,能让你尽情享受美食。还有,它对邻牙的损伤小,不会像传统的烤瓷牙那样需要磨损旁边的好牙。不过,种植牙也不是所有人都适合,像一些患有重度心血管疾病、未控制的糖尿病等患者,可能就不太适合做种植牙。

成都贝臣口腔医院种植牙价格表大公开
下面就给大家详细看看成都贝臣口腔医院的种植牙价格表。这里面包含了不同品牌和种植方式的价格,大家可以根据自己的需求和经济情况来选择。
| 品牌 | 种植方式 | 价格(元) | 优势 | 适用人群 |
|---|---|---|---|---|
| 韩国登腾 | 普通种植 | 4000 - 6000 | 性价比高,种植技术成熟,临床实例多。 | 牙槽骨条件较好,对价格比较敏感的人群。 |
| 美国皓圣 | 即刻种植 | 8000 - 10000 | 种植速度快,能缩短治疗周期,生物相容性好。 | 单颗牙缺失,希望尽快修复牙齿功能的人群。 |
| 瑞士ITI | 微创种植 | 12000 - 18000 | 种植精细度高,创伤小,愈合快。 | 对种植成效要求较高,追求舒适体验的人群。 |
| 德国贝格 | 全口种植 | 80000 - 150000 | 稳定性强,适合全口牙缺失的修复。 | 全口牙缺失患者。 |

影响种植牙价格的因素
品牌差异:不同品牌的种植牙价格差别比较大。像韩国登腾这种性价比高的品牌,价格相对较低;而瑞士ITI这种高端品牌,价格就会贵一些。这主要是因为不同品牌的种植牙在材料、制作工艺、研发成本等方面存在差异。
种植方式:普通种植、即刻种植、微创种植等不同的种植方式价格也不一样。即刻种植能让患者更快地修复牙齿功能,减少等待时间,所以价格会比普通种植高一些。微创种植对医生的技术要求更高,能减少患者的痛苦和创伤,价格也相对较贵。
患者自身情况:每个人的牙槽骨条件、牙齿缺失情况都不一样。如果牙槽骨条件不好,需要精良行骨增量手术,那么治疗费用就会增加。还有,如果是多颗牙缺失或者全口牙缺失,种植的难度和费用也会更高。

成都贝臣口腔医院种植牙性价比分析
从价格方面来看,成都贝臣口腔医院的种植牙价格还是比较合理的。它涵盖了不同价位的品牌和种植方式,能满足不同患者的需求。像韩国登腾这种价格亲民的品牌,对于预算有限的患者来说是个不错的选择;而对于追求高品质种植成效的患者,瑞士ITI等高端品牌也能提供良好的服务。
在技术和服务方面,医院的医生都有丰富的临床经验,能根据患者的具体情况制定个性化的种植方案。而且医院还提供术后的跟踪服务,确保患者的种植牙能正常使用。从这些方面来看,成都贝臣口腔医院的种植牙性价比还是挺高的。

患者实例分享
咱们来听听几位在成都贝臣口腔医院做过种植牙的患者是怎么说的。
李先生,50岁,因为意外导致一颗牙齿缺失。他选择了美国皓圣的即刻种植。李先生说:“我一开始还挺担心的,怕种牙会特别疼。但是在贝臣口腔医院,医生技术特别好,种牙过程一点都不疼。而且种完牙没几天我就能正常吃饭了,这成效真的太棒了。价格也在我的承受范围内,特别值!”
王奶奶,70岁,全口牙缺失。她做了德国贝格的全口种植。王奶奶笑着说:“我以前吃饭只能吃点软的东西,自从在贝臣种了牙,我又能像以前一样大口吃肉啦。医生和护士都特别照顾我,服务特别周到。”

如何选择适合自己的种植牙方案
首先,要根据自己的经济情况来选择。如果预算有限,可以优先考虑性价比高的品牌,像韩国登腾。如果经济条件允许,追求更好的种植成效和体验,那么可以选择瑞士ITI等高端品牌。
其次,要考虑自己的牙齿情况。如果牙槽骨条件好,单颗牙缺失,那么普通种植或者即刻种植都可以选择。如果牙槽骨条件不好,可能需要精良行骨增量手术,再选择合适的种植方式。
末尾,要多和医生沟通。医生会根据你的具体情况,为你提供专精的建议。你可以把自己的需求和担忧都告诉医生,让医生帮你制定更适合你的种植牙方案。
好啦,关于成都贝臣口腔医院的种植牙收费详情和性价比就给大家介绍到这里啦。希望大家都能拥有一口健康漂亮的牙齿,尽情享受美食和生活!要是你还有其他关于种植牙的问题,不妨去成都贝臣口腔医院询问一下专精的医生哦。









