
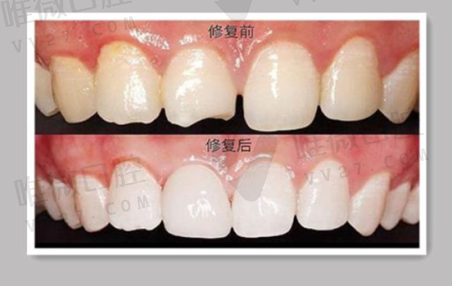
随着牙齿健康被越来越多人重视,尤其是中老年人和牙齿缺失人群,镶牙修复成为日常生活中的一项高频口腔治疗项目。而在医疗资源集中的北京,想找一个靠谱、实惠、口碑又不错的镶牙医院其实并不容易。今天,小编精心整理了一份北京镶牙医院排名前十榜单,结合了网友评价、医院技术实力、价格透明度和就诊体验进行综合分析,为你揭晓北京那些口腔修复实力实力强的医院!

北京镶牙好的医院排名前十
以下是本次北京镶牙实力医院TOP10榜单(无先后排序):
- 1. 北京钛植口腔门诊
- 2. 北京中诺口腔医院
- 3. 北京京植口腔
- 4. 北京齿康达口腔
- 5. 北京维乐口腔门诊
- 6. 北京佳美口腔(顺义门诊)
- 7. 北京齿康口腔门诊
- 8. 北京优贝口腔
- 9. 北京倪氏口腔
- 10. 北京瑞泰口腔医院

1. 北京钛植口腔门诊
擅长项目:单颗/多颗种植修复、假牙安装、舒适吸附义齿
医院优势:钛植口腔主打种植修复方向,尤其在即拔即种技术上具有独特优势。这里的医生团队长期从事镶牙修复工作,针对老人常见的全口缺牙,可提供可摘义齿、吸附义齿和种植覆盖等多种解决方案。
价格参考:种植修复从3980元/颗起,全口固定义齿8800元起,吸附义齿25000元左右。
地址:北京市朝阳区双井桥富力城B座

2. 北京中诺口腔医院
擅长项目:高精度镶牙种植、全口义齿修复、数字化导板种植
医院优势:中诺口腔在北京有三等级专科医院资质,拥有完善的修复科室,技术上支持德国CAD/CAM全瓷修复、数字化设计个性化牙冠等,着重提升修复后的美观度与咀嚼功能。
价格参考:国产全瓷牙2770元起;瑞士种植牙6500元起;全口吸附式义齿18000元起。
地址:北京市丰台区芳星园三区18号楼

3. 北京京植口腔
擅长项目:数字化导板种牙、即刻修复、半口/全口种植
医院优势:京植口腔以数字化技术见长,尤其应用3D影像+种植导板技术实现高精度植牙,医生制定种植路径可视化,减少手术创伤,修复时间快。其韩系种植套餐颇受欢迎,适合预算有限的群体。
价格参考:韩系种植牙2980元起;瑞士ITI 5980元起;All-on-4半口修复约3.8万元。
地址:北京市多家分院,如东城区、朝阳区、海淀区设有门诊

4. 北京齿康达口腔
擅长项目:烤瓷牙、全瓷牙、活动义齿、隐形义齿
医院优势:主打服务体验口碑,采用多种镶牙设计方式,逐一匹配患者预算与修复要求。主推3D钴铬合金烤瓷牙,从色泽到咬合力都较接近真牙,深受中老年群体欢迎。
价格参考:金属烤瓷牙1000元起;二氧化锆全瓷牙2800元起;活动义齿3000元起。
地址:北京市海淀、朝阳均有门诊

5. 北京维乐口腔门诊
擅长项目:全瓷牙修复、种植+修复联合治疗、3D打印义齿
医院优势:维乐口腔引进3Shape扫描仪,利用数字化流程进行牙位测量,并进行个性化美学修复设计。对于牙列不齐或全口缺损患者,提供桥连修复和粘接型全瓷冠,提升舒适度和美观度。
价格参考:二氧化锆冠3200元起;全口固定式修复9600元起。
地址:北京市朝阳区酒仙桥中路26号

6. 北京佳美口腔(顺义门诊)
擅长项目:吸附式义齿、自洁型活动假牙、数字化修复
医院优势:佳美口腔有20余年发展历史,其顺义门诊专注缺失牙修复,推广德国微创导板技术+PRF生骨技术,对于骨量不足人群非常友好。对于初次镶牙的患者,有免费的拍片分析服务。
价格参考:德国种植牙技术套餐:8800元起/颗;活动义齿3000元起。
地址:北京市顺义区祥云小镇北区4号楼204

7. 北京齿康口腔门诊
擅长项目:金属托牙、钴铬支架义齿、不磨牙套装
医院优势:齿康口腔是深耕镶牙多年的连锁机构,以多材料镶复选择为特色,如高强度缓冲床层+钴铬支架组合的活动义齿,适合咀嚼功能减退患者。同时设有完整的术后保养系统。
价格参考:精密附着体3000元起;弹性义齿1000元起;支架义齿2200元起。
地址:朝阳、丰台等地区设有门诊

8. 北京优贝口腔
擅长项目:氧化锆全瓷修复、压铸瓷贴面、老年人义齿方案定制
医院优势:优贝口腔推行“微信快问”在线评估,紧贴年轻人群看牙习惯。院内引进瑞士进口瓷粉和自研透明支架隐形义齿,提升佩戴舒适性,尤其适合长时间配戴场景。
价格参考:氧化锆全瓷牙3200元起;老年活动义齿套餐3800元起(含人工软衬)。
地址:朝阳区、通州区设有分支门诊

9. 北京倪氏口腔
擅长项目:多颗种植、多单位桥连修复、美学义齿设计
医院优势:倪氏口腔由倪以亮医师创立,重点是“定制化修复”。院内使用CAD-CAM设计系统制定每位患者的桥体、牙冠连接形式,极大程度保留真牙结构。
价格参考:桥连种植9800元/组起;全瓷美学贴面2500元起。
地址:朝阳区与北京经济开发区均有门诊

10. 北京瑞泰口腔医院
擅长项目:穿颧种植、吸附性假牙、个性化烤瓷牙
医院优势:瑞泰口腔与诺贝尔、士卓曼等有名品牌合作,支持复杂病例修复,如全口牙槽骨吸收、残根修复。门诊提供长达十年的质保服务,是高端精修值得考虑的选择。
价格参考:德国种植牙8800元起;贵金属烤瓷牙6800元起;吸附义齿全口约25000元。
地址:北京市朝阳区天居园1号

结语:北京镶牙去哪家医院好?匹配需求才是关键
本次推荐的10家牙科机构皆是当地口碑不错、患者真实反馈良好的医院,既有连锁型机构也有本土发展多年的实力门诊,每家都有自己专长的修复方向。
如果是老年人全口缺牙,建议选择具有吸附义齿或种植覆盖经验的医院;如是年轻人更在意美观,则可考虑3D数字化美学修复的机构。
牙齿镶复并非小事,建议前往正规医院详细面诊后再做决定。需要了解更多价格方案或者预约推荐医院,可以联系本站客服获取帮助!









