
在利川选择一家靠谱的牙科医院,不仅要看技术实力,还要考虑价格、服务和便利性。今天为大家整理了几家口碑不错的利川牙科医院,从连锁品牌到本地机构,各有特色,希望能帮你找到适合自己的选择。

利川牙科医院哪家好
1. 利川咿呀牙科
擅长项目:种植牙、隐形矫正、烤瓷牙修复
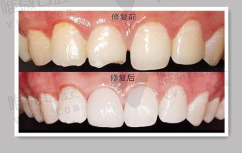
优势亮点:作为国内连锁品牌,咿呀牙科在利川有两家分院,共享集团的技术资源。特别值得一提的是他们的正畸实例库,能看到大量真实矫正实例。采用数字化矫正方案设计,配合3D口扫设备,让矫正过程更精细。
门店地址: 东方城店:金龙南路二号(停车方便) 天桥店:龙船大道17号4楼(商圈中 心)
参考价格: 隐形矫正15800-50000元 种植牙3680-10000+/颗 全瓷冠1500元起

2. 利川欧乐口腔
擅长项目:亲水种植牙、隐形矫正
优势亮点:这家诊所的特色在于透明化收费,所有项目明码标价。采用瑞士亲水种植系统,特别适合牙槽骨条件不太理想的患者。矫正方面引进了时代天使和隐适美两大主流品牌。
诊所地址:都亭街道办事处六合路97号
参考价格: 亲水种植牙6800元起 隐形矫正18000-45000元

3. 利川恩东口腔
擅长项目:儿童齿科、全口修复
优势亮点:恩施地区规模较大的连锁机构,消毒标准严格。特别适合带孩子看牙的家长,设有独立的儿童诊疗区,环境温馨。还能使用医疗保险报销部分项目,减轻经济负担。
门店地址:龙船大道中央购物广场六楼
参考价格: 儿童窝沟封闭100元/颗 全口义齿修复5000元起

4. 利川凯恩口腔
擅长项目:复杂种植、睡眠洁牙
优势亮点:这家诊所的种植技术突出,能处理骨量不足等复杂情况。特色睡眠洁牙采用舒适化操作,特别适合对牙科治疗有恐惧感的患者。定期有医生坐诊,解决疑难病例。
诊所地址:清江大道置地广场288号西区六栋四楼
参考价格: 穿颧种植15000元起 睡眠洁牙399元/次

选择小贴士
1. 看资质:确认医疗机构执业许可证
2. 比实例:要求查看类似病例的治疗成效
3. 问细节:了解具体的治疗方案和预期成效
4. 试体验:可以先做个基础检查感受服务
建议根据自身需求选择:
• 追求品牌保护:咿呀牙科
• 注重性价比:欧乐口腔
• 带孩子就诊:恩东口腔
• 复杂病例:凯恩口腔
末尾提醒,牙齿治疗是个性化服务,建议实地考察后做决定。记得定期口腔检查,预防胜于治疗哦!









