
2026年北京大学口腔医院价格表新鲜出炉啦!作为国内口腔医疗界的"扛把子",北大口腔的价格一直是大家关注的焦点。今天咱们就来扒一扒这家三等甲口腔医院的收费明细,从种植牙到正颌手术,从牙齿矫正到各种特色项目,确保让你看得明明白白。听说最近有不少小伙伴在打听2026年的全新价格,这不,我连夜整理了这份超详细的攻略,准备种牙、矫正或者做正颌的小伙伴们可要收藏好了!

北京大学口腔医院2026价格大揭秘
说到北京大学口腔医院2026价格,那可真是"丰俭由人"。先说说更热门的种植牙,国产种植体3980元起就能搞定,进口的从6800元到16600元不等,价格差得不是一星半点。牙齿矫正就更丰富了,金属托槽8000元起,隐形矫正2万起步,要是想做舌侧矫正,4万大洋就飞走了。更贵的要数正颌手术,单颌4.8万起,双颌8万起,三颚矫正直接飙到18万!不过贵有贵的道理,北大口腔的设备和技术都是国内精尖的,医生也都是行业大牛,这钱花得值!

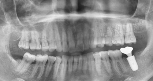
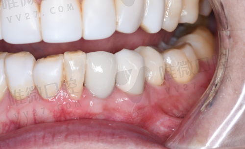
北京大学口腔医院2026种植牙价格全解析
2026年在北京大学口腔医院种牙,价格主要看种植体品牌。
国产的莱顿种植牙4000元起,创英5500元起;韩国登腾5300元起;
欧美进口的就贵了,瑞士ITI 9020元起,德国费亚丹11200元起,瑞典诺贝尔11700元起。
半口种植12万起,全口种植21万起。
这里要提醒大家,价格还包含手术费,比如种一颗瑞士ITI,种植体1.2万+手术费5000元,总价1.7万左右。偷偷告诉你,如果预算有限,可以考虑国产种植体,现在技术也特别成熟了!

北京大学口腔医院2026牙齿矫正收费明细
想在北京大学口腔医院做矫正?2026年的价格是这样的:
金属托槽8000元起,金属自锁托槽稍微贵点;
隐形矫正里,时代天使2万起,隐适美3万起;
高端玩家可以选择舌侧矫正4万起。
青少年早期干预的MRC矫正1.1万起,成人复杂矫正比如深覆合要1.3万起。
整个矫正过程还包括治疗费,比如做时代天使青春版,矫正器2.85万+治疗费5000元,总价3.35万左右。建议早矫正早变得更美,价格还能省不少呢!

北京大学口腔医院2026正颌手术价格一览
正颌手术在北京大学口腔医院2026年的价格可是分得特别细:
单颌手术4.8-6.5万,双颌8-10万,三颚矫正18万。
专项手术更贵,骨性地包天9.8-11万,骨性偏颌5.8-13万,面部不对称矫正6-9.5万。
这还不包括术前检查(3000-7000元)和术后取钛板(1.3万)。
不过北大口腔的正颌手术确实牛,并发症低于1%,满意度高达98.6%,主刀医生都是10年以上经验的名咖。想预约的话记得提前14天抢号,每天早上8点官网APP放号

北京大学口腔医院2026特色项目价格指南
除了常规项目,北京大学口腔医院2026年还有一些特色服务。比如正颌正畸联合治疗9.5-12.5万,反颌矫正手术10万,下颌后缩手术8-9万。这些项目都需要个性化定制方案,价格自然不菲。不过技术是真的香,采用数字化虚拟手术规划、3D打印截骨导板等黑科技,进口钛板比国产的贵10%-15%。外地患者可以选择"北京定方案+当地复诊",能省下不少路费和时间。
看完这份2026年北京大学口腔医院价格指南,是不是心里有底了?从种植牙到正颌手术,价格虽然不便宜,但考虑到医院的实力和医生的水平,这钱花得完全地值!建议有需求的小伙伴提前做好功课,根据自身情况选择合适的项目和医生。记住,早治疗早受益,牙齿健康投资永远不亏!









